A woman with the rare condition of two uteruses delivered twins, one from each womb, last month at a hospital in northwestern China, according to health officials and state media.
The mother, identified only be her last name Li, welcomed a boy and a girl via caesarean section, the Xi’an People’s Hospital in Shaanxi province said, calling it a “one in a million” occurrence.
“It is extremely rare for twins to be conceived naturally in each cavity of the uterus, and even rarer for them to be carried to term,” the hospital said on its official account on China’s X-like social media platform Weibo on September 18.
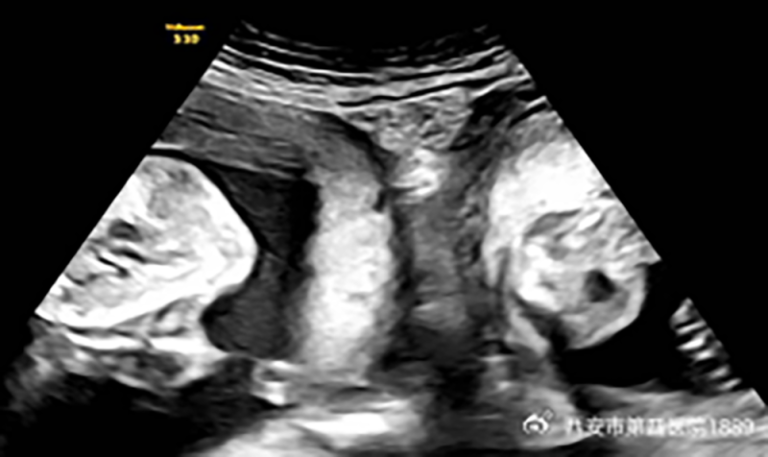
According to the hospital, the new mother was born with two cervixes and two uteruses, a condition called uterine didelphys found in about 1 in 2,000 women.
Her story has captivated Chinese social media and become a trending topic, with more than 50 million views in recent days, many users sharing messages of awe.
“That’s a miracle!” one user wrote, while another said, “How lucky she is!”. Some expressed concern for the mother, one user writing “this must have been tough and dangerous for her!”
Li’s story appeared to show a happy outcome after facing such circumstances, with the hospital disclosing she had miscarried a previous pregnancy.
But in January, Li became pregnant again and discovered during an early ultrasound that she was expecting not just one child but twins – one in each womb.
After “close and strict” medical monitoring, she “successfully” gave birth to a boy weighing 7 pounds, 19 ounces and a girl weighing 5 pounds, 30 ounces, the hospital said.
